banana - false panleukopenia

אבחון מבדל: כשהתסמינים רומזים חתלתלת אבל האמת אחרת – סיפורו של בננה

שתפו אותי:

You can read the full article in English by clicking on this link: Beyond the Obvious: Diagnosing Severe Gastrointestinal Ileus in a Cat Suspected of FPV

בננה, חתול בוגר החי רוב זמנו מחוץ לבית, הובא לבדיקה במרפאתה של ד"ר שרית גייר בעקבות תסמינים חריפים שכללו חולשה כללית, חוסר תיאבון, הקאות ושלשול דמי.

בעקבות אורח חייו החופשי ואופיו החרדתי, לא התאפשר לבעליו לקיים עבורו שגרת חיסונים מונעת, דבר שהגביר את חשיפתו האפשרית למחלות זיהומיות.

יומיים לפני ההגעה, בננה אובחן במרפאה וטרינרית אחרת כסובל ממחלת החתלתלת (Panleukopenia) בהתבסס על בדיקות דם כלליות. עם זאת, בשל חוסר התאמה מסוים בגילו ובמצבו הכללי, ובשל רצון הבעלים לקבל חוות דעת נוספת, הוחלט לבצע בירור מעמיק ומדויק יותר.

הסיפור הבא מתאר את המסע המקצועי והאכפתי של ד"ר גייר וצוות המרפאה:

בדיקות דם, הדמיות מתקדמות, שלילת מחלות קשות וטיפול מותאם אישית,  עד לשחרורו של בננה הביתה, כשהוא כבר על דרך ההחלמה.

רקע

בננה הוא חתול בוגר המאופיין בטמפרמנט חרדתי מאוד, עם העדפה ברורה לשהות מחוץ לבית.

בעקבות אופיו החופשי והרתיעה ממקומות סגורים, שהייה ממושכת בתוך הבית אינה אפשרית עבורו, מה שמגביל את הבעלים ממתן טיפול מונע שגרתי הכולל חיסונים תקופתיים ותילוע.

התנהגותו העצמאית והחיים בסביבה החיצונית מציבים את בננה בסיכון מוגבר לחשיפה לגורמי מחלה שונים, ובמקביל מקשים על האפשרות לנהל מעקב רפואי יזום ושוטף.

מצב ייחודי זה חייב התייחסות מותאמת בטיפול הרפואי שניתן לו, תוך שמירה על איזון בין מתן טיפול אגרסיבי למצבים חריפים לבין מניעת יצירת סטרס מיותר, שעלול להחמיר את מצבו הבריאותי.

בירור ראשוני – יום אשפוז ראשון

בדיקות וטיפול ביום מספר 1 לאשפוז

בהתאם לחשד הראשוני למחלת החתלתלת, נלקחה דגימה לבדיקה מולקולרית (PCR).

בשלב זה הודגש כי גיל החתול אינו תואם את הפרופיל האופייני להדבקה אקטיבית בחתלתלת, אולם הרצון היה לשלול לחלוטין אפשרות זו לפני קביעת המשך טיפול.

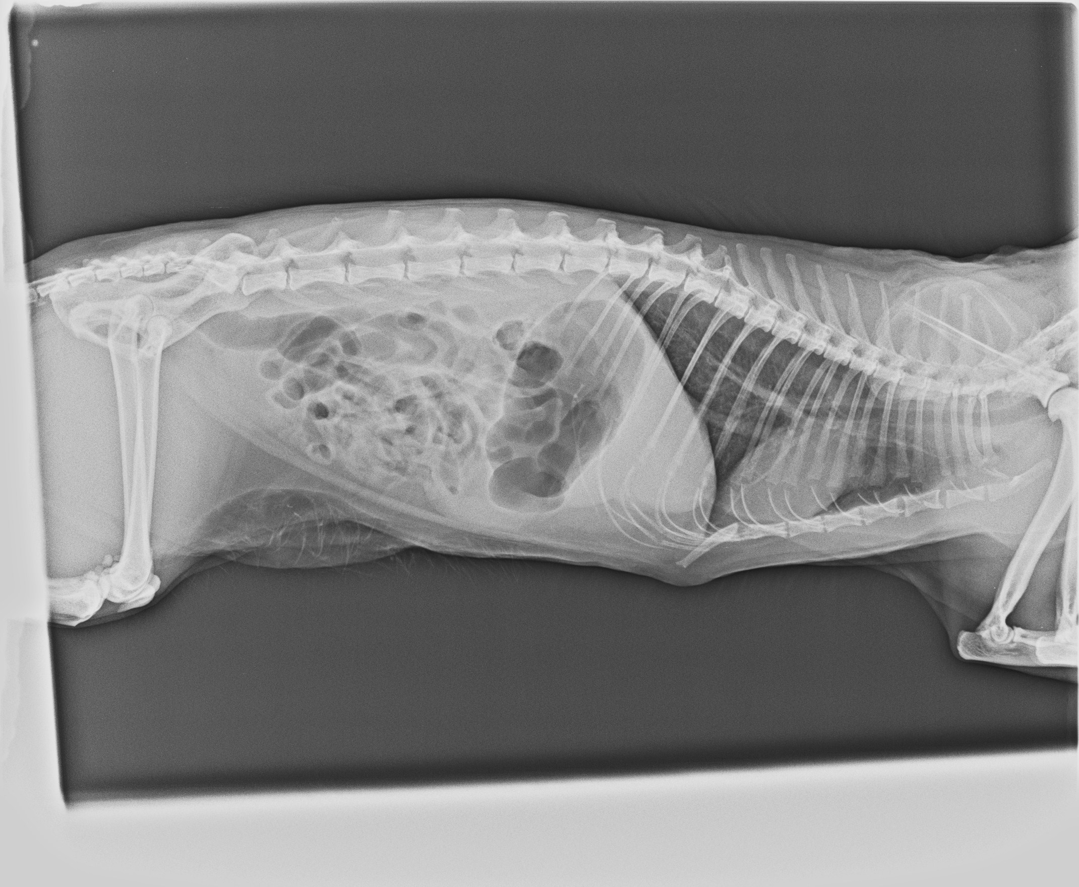
בוצע צילום רנטגן במנח ליטרלי (Letral View)

צילום רטגן ליטרלי letral xray view - בננה

ניתן להתרשם בצילום ההדמייה:

  • מעיים: ניתן לראות בולטות של לולאות מעיים רבות שמכילות כמות גדולה של גז (האוויר השחור בצילום).

  • קיבה: לא רואים הרחבה חריגה של הקיבה עצמה, יש אזורים של גז, ייתכן בקיבה ובמעי הדק. אין הרחבה של הקיבה.

  • כבד: ככל הנראה, לא מוגדל משמעותית ולא חורג מגבולות כלוב הצלעות

  • שלד: חוליות עמוד השדרה, אגן, וגפיים נראים ללא שברים או סטיות בולטים.
  • בית החזה: לב וריאות

    • אין סימני גודש ריאתי חריג.

    • הצללה קלה באזור הלב, בגדר הנורמה לחתול במנח כזה.

 

פענוח בדיקות דם וכימיה שהתבצעו במרפאה של ד"ר שרית.

 

בדיקת דם המטולוגיה

בדיקת דם RBC המטולוגיה של בננה

ממצאים

  • RBC (כמות כדוריות אדומות): תקין.

  • המטוקריט (Haematocrit): טיפה נמוך (29.0% מול טווח תקין של 30.3%-52.3%) , מצביע על אנמיה קלה.

  • המוגלובין (Haemoglobin): תקין גבולי נמוך (9.9 g/dL).

  • כמות רטיקולוציטים (Reticulocytes)  : נמוכה מאוד (%0.2, גם אם נסתכל על המספר מוחלט 15.1K/μL)
    מעיד על אנמיה לא רגנרטיבית, משמע, מח העצם לא מגיב ביצירת תאים חדשים. אתן עוד כמה משפטים על הנקודה הזו, כיוון, שאני הייתי גם צריכה לחקור את העניין בשביל עצמי 🙂

    בחתול עם בדיקת דם רגילה (ללא אנמיה) – תוצאה של ערך 15.1 הייתה בדיוק בטווח. ולא הייתה מדליקה נורה אדומה. 

    אבל במקרה של בננה, אנחנו רואים שכן, יש אנמיה (המטוקריט עם ערך  נמוך: 29%), ולכן:

    • היינו רוצים לראות רטיקולוציטים גבוהים מאוד כמנגנון תיקון טבעי של הגוף (מעבר לטווח הנורמלי, אפילו 50–100K/μL).

    • כשהרטיקולוציטים נמוכים/רגילים ביחס לאנמיה קיימת, זה אומר שהגוף לא מגיב טוב , מה שאנחנו קוראים, אנמיה לא רגנרטיבית.

  • לויקוציטים (WBC): בתמונה כללית, ערך תקין. אבל :

    לימפוציטים (Lymphocytes): גבוהים מאוד (7.78K/μL, מעל טווח עליון).
    נויטרופילים (Neutrophils): נמוכים מהנורמה (0.53K/μL).
    מונוציטים (Monocytes): גבוהים מאוד (1.49K/μL)
    טסיות דם (Platelets): נמוכות מאוד (59K/μL) , כלומר, יש לנו מקרה של טרומבוציטופניה.

מסקנות בקצרה, מתוצאות בדיקות המטולוגיה:

  • קיימת אנמיה לא רגנרטיבית, יתכן בשל מחלה כרונית, דלקת או בעיה במח העצם.

  • קיימת מונוציטוזיס (עליה במונוציטים), ככל הנראה ממצב דלקתי.

  • טרומבוציטופניה משמעותית שמגדילה את הסיכון לדימומים. עניין שצריך לקחת בחשבון בעת טיפול ובדיקות.

  • ייתכן שהפרופיל החיסוני מצביע על תגובה דלקתית או סטרס.

 

בדיקת דם כימיה

בדיקת דם כימיה של בננה החתול בדיקת דם ליפז - בדיקת לבלב ממוקדממצאים

  • גלוקוז, סוכר (Glucose): גבוה (191 mg/dL):  אפשרי סטרס, ייתכן שנובע מסטרס, מה שנקרה "סטרס היפרגליקמיה", אופייני לחלתולים. (כפי שציינתי בהתחלה בננה, הוא חתול חרדתי מאוד).

  • קריאטינין ואוראה (תפקודי כליות) (Creatinine urea): ערכים תקינים , אין עדות למחלת כליות כרונית.

  • קלציום (Calcium): ערך נמוך גבולי (7.7 mg/dL)

  • גלובולין (Globulin) : גבוה (5.5 g/dL) ,  מאפשר לנו לחזק את הסבירות לדלקת או מחלה כרונית.

  • יחס אלבומין/גלובולין: נמוך (0.5),זה מתאים למצב שבו הגוף, ההשערה היא שייתכן ייתכן שמעורבת פגיעה בכבד או בכליות

  • בילירובין (Bilirubin): גבוה מאוד (4.0 mg/dL לעומת תקין 0.0–0.9), מה שיוכל להצביע לנו על 2 מקרים:

    • פירוק תאי דם (המוליזה),

    • או בעיה בכבד ת חסימת דרכי מרה.

  • ALP ,פוספטזה בסיסית (Alkaline Phosphatase) : נמוך מאוד (פחות מ-10). לאחר שחקרתי את עניין. נראה שבמידה וכן הייתה בכיס המרה, אז ערך ה ALP היה עולה משמעותית. ואיתו גם ALT. כפי שניתן לראות, הערך כאן נמוך משמעותית. אז אפשר להניח שהמקור כאן הוא דלקתית.

  • ליפאז ועמילאז,אנזימי  (Amylase, Lipase) : תקינים.

  • פנקראטיק ליפאז: תקין (3.4/4.4) , נשללה דלקת בלבלבס

סיכום על תמונת המצב עפ"י הבדיקות:

  • אנמיה לא רגנרטיבית
  • טרומבוציטופניה
  • מונוציטוזיס (תגובה דלקתית כלשהי מתרחשת בגוף)
  • היפרבירובינמיה חריפה
  • גלוקוז גבוה (כנראה סטרס)

 

טיפול תרופתי במסגרת אישפוז יום, יום מספר 1

לאחר הערכת מצב ראשונית, ותוך כדי המתנה לתוצאות הבדיקות המשלימות, הוחלט להתחיל בבננה טיפול תומך ואינטנסיבי שמטרתו:

  • ייצוב מערכת העיכול והמערכת הכללית
  • מניעת התייבשות,
  • טיפול בזיהום אפשרי
  • עידוד אכילה

הטיפול התרופתי שניתן:

  • עירוי תת עורי (Subcutaneous Fluids) – שמירה על מאזן הנוזלים של בננה. מניעת התייבשות, שיפור זרימת דם וסיוע בפינוי רעלים.
  • סרניה (Cerenia) – מטפל בבחילות והקאות, מסייע לבננה להיות נינוח יותר באכילה.
  • בייטריל (Baytril, Enrofloxacin) – אנטיביוטיקה רחבת טווח, טיפול בזיהום חיידקי ומניחת החמרה.
  • סינולוקס (Synulox, Anoxicillin + Clavulanic Acid) – אנטיביוטיקה רחבת טווח, חיזוק כיסוי אנטיביוטי למניעת זיהום במעיים ובמרה.
  • מירטזפין (Mirtazapine) – מעודדת תאבון, לעזור לבננה לאכול
  • ויטמין B12 (Vitamin B12) – מסייעת בתהליך חידוש תאים, והמעיים

 

שאלות וכיוונים שד"ר שרית העלתה לאור הממצאים בבדיקות:

  • האם יש חשד לארוע טוקסי כבדי? (בילירובין יכול לעיד כל כך וכן אכילה ירודה ועייפות)
  • האם יש לנו מקרה של חסימת מעיים חלקית על רק פיתול או אינטרסספשיין?   (גזים רבים בבטן, חוסר תאבון, בילירובין גבוה)
  • האם מדובר בלימפומה?  (אנמיה לא רגנרטיבית, גלובולין גבוה).

 

בירור והמשך טיפול – יום אשפוז 2:

ממצאי בדיקת אולטרסונוגרפיה של מערכת העיכול וחלל הבטן בחתול התבצעה ע"י ד"ר ארנון מרקביץ

מערכת העיכול:

  • הודגמה כמות גדולה מאוד של גז הן בקיבה והן בכל מקטעי המעי הדק.
  • עובי והרכב שכבות דופן המעיים נמצאו בתוך הגבולות התקינים, ללא עדות לעיבוי דופן, בצקת או שינויים מבניים חשודים.
  • במהלך הסריקה לא נצפתה פריסטלטיקה פעילה (תנועתיות מעיים) , ממצא שיכול להעיד על האטה בתנועתיות העיכול (Ileus), ייתכן משנית לגזים, חסימה חלקית או תהליך דלקתי.

איברי חלל הבטן:

  • שאר איברי הבטן: לרבות כבד, טחול, כליות, שלפוחית שתן ולבלב, הודגמו עם מאפיינים סונוגרפיים תקינים בהתאם לצפוי לחתול בגיל הרלוונטי.
  • לא הודגמו נוזלים חופשיים בחלל הבטן,  נתון חשוב המפחית את החשד לקרע במעיים, דימום פנימי או דלקת רירית בטן (פריטוניטיס).
  • לא זוהו מסות אבדומינליות, כלומר, לא אותרה נוכחות של גידולים, הסתיידויות חריגות או הצטברויות בלתי תקינות.

ממצא נלווה:

  • זוהה קשר לימפתי ריאקטיבי קטן בין הכבד לקיבה.
  • עדות על תגובה מקומית עדינה של מערכת החיסון, לעיתים משנית לדלקת מקומית או עיכול לקוי

הלב:

  • מבנה הלב, כולל גודלו, צורתו, כיווציותו וקצב הפעולה, הודגם תקין, ללא עדות להפרעות מבניות או תפקודיות.

 

סיכום פענוח:

המסקנה העיקרית מהבדיקה היא כי מדובר בחתול המציג סימני גזים מרובים במערכת העיכול, עם חשד לפעילות מעיים ירודה (Ileus), ללא עדות לממצאים חמורים אחרים בבטן או בלב.

ממצאים אלו מדגישים את הצורך בהמשך ניטור וטיפול תומך, תוך התמקדות בהחזרת תנועת המעיים, טיפול אפשרי במקור הדלקת ותמיכה תזונתית ונוזלית נאותה.

 

הטיפול תרופתי במסגרת אשפוז יום 2

הטיפול התרופתי ביום אשפוז שני נועד לייצוב מערכת העיכול באמצעות שימור הידרציה אופטימלית, הפחתת בחילה, החזרת פעילות מעיים, מניעת חדירה חיידקית לדם והגנה על שלמות רירית מערכת העיכול.

  • עירוי תת עורי (Subcutaneous Fluids) – שמירה על מאזן הנוזלים של בננה. מניעת התייבשות, שיפור זרימת דם וסיוע בפינוי רעלים.
  • סרניה (Cerenia) – מטפל בבחילות והקאות, מסייע לבננה להיות נינוח יותר באכילה.
  • בייטריל (Baytril, Enrofloxacin) – אנטיביוטיקה רחבת טווח, טיפול בזיהום חיידקי ומניחת החמרה.
  • פרמין (Primperan) – מעודד תנועתיות מעיים
  • סינולוקס (Synulox, Anoxicillin + Clavulanic Acid) – אנטיביוטיקה רחבת טווח, חיזוק כיסוי אנטיביוטי למניעת זיהום במעיים ובמרה.
  • פמוטידין – (Famotidine) – מפחית חומציות בקיבה והגנה על רירית הקיבה

 

הבחנה קלינית

 

banana panleukopenia pcr

 

בהמשך לאבחון המקיף ובדיקות המעבדה שבוצעו, התקבלו תוצאות בדיקת ה-PCR עבור מחלת החתלתלת (Panleukopenia), אשר נמצאו שליליות באופן חד-משמעי.
ממצא זה מאפשר לשלול בוודאות את האפשרות כי מחלת החתלתלת היא הגורם למצבו הקליני של בננה.

הערכת המצב הקליני והדמיית האולטרסונוגרפיה הצביעו על נוכחות כמות גדולה מאוד של גזים בקיבה ובמעיים הדקים, ממצא אשר גרם לכאב ניכר, האטה בתנועת המעיים (אילאוס) ולסימני עיכול חמורים.

תכנית שחרור

בננה הראה לנו תגובה חיובית ומהירה לטיפול התרופתי האינטנסיבי שניתן לו במסגרת 2 ימי אשפוז, שכלל טיפול תומך בנוזלים, נוגדי בחילה, אנטיביוטיקה רחבת טווח והגנה על מערכת העיכול.

בהתבסס על שיפור מהיר בתיאבון, חיוניות ותגובות חיוביות לטיפול התרופתי, ד"ר שרית גייר החליטה לשחרר את בננה לביתו תחת ההנחיות הבאות:

  • מנוחה מוחלטת בבית למשך לפחות שלושה ימים (אין יציאה לחצר)

  • המשך טיפול תרופתי תומך לפי הנחיות

  • מעקב רפואי לוודא חזרה הדרגתית לפעילות מעיים תקינה.

 

 

החלמה מהירה בננה!!

כתיבת תגובה

האימייל לא יוצג באתר. שדות החובה מסומנים *