ג'יי ג'יי הוא כלב מלינואה מעורב, בן כשנה, אשר הובא למרכז הוטרינרי של ד"ר שרית גייר עקב חשד לבליעת עצמות.
הבעלים דיווחו כי סבא וסבתא של הג'יי ג'יי רצו לפנק אותו, והגישו לו עצמות עוף ובקר מבושלות, זמן קצר לאחר מכן הופיעו סימנים קליניים שכללו הקאות ויציאות לא סדירות.
בדיקה ואבחון
בבדיקה רקטלית שבוצעה ע"י ד"ר שרית גייר נמצאו שאריות עצמות, שד"ר שרית הוציאה ישירות.
דבר שאישר את החשד לבליעת עצמות שלא ניתנות לעיכול.
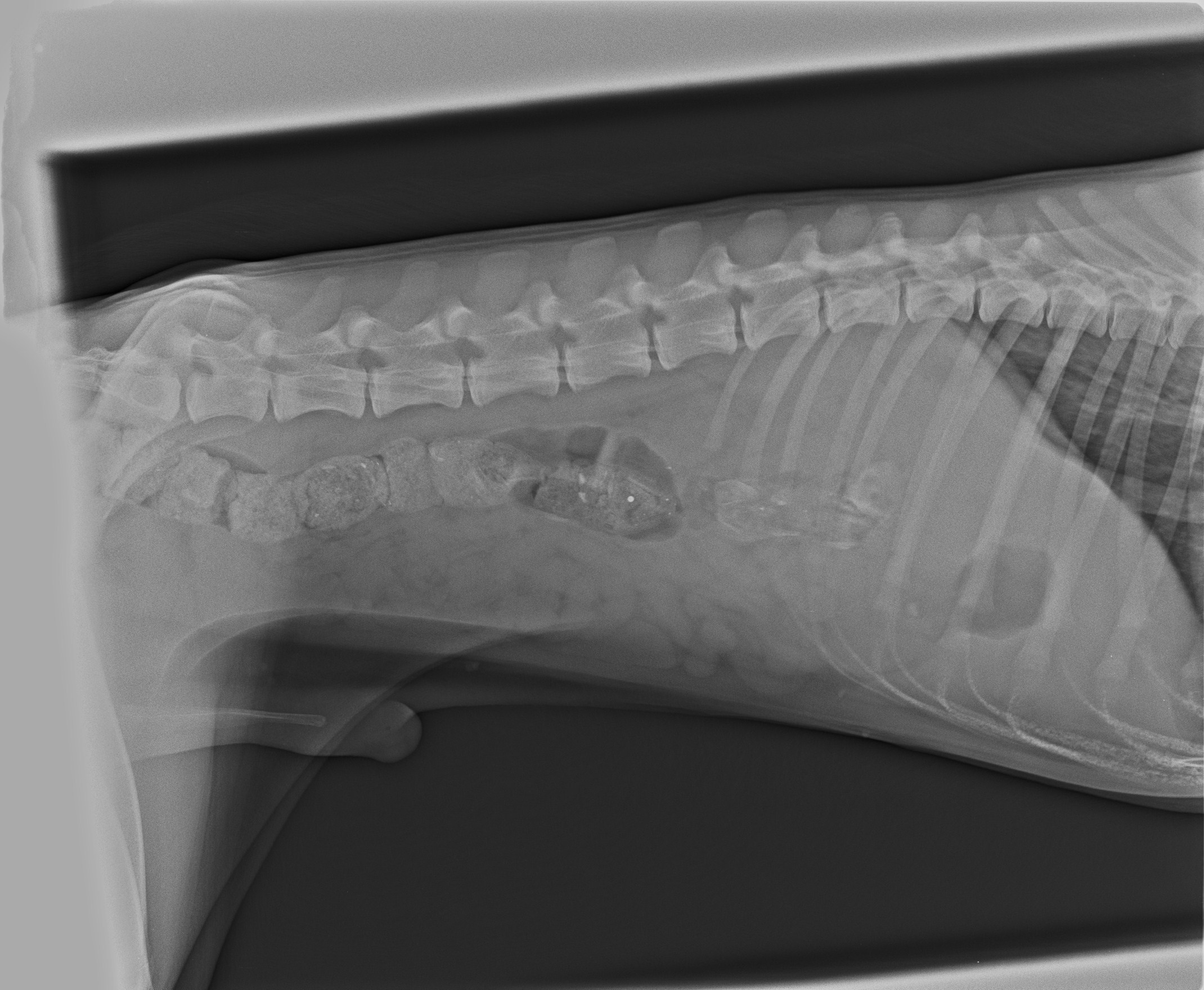
ד"ר שרית החליטה לבצע צילום רנטגן במנח לטרלי של חלל הבטן,שחשף מוקדים רדיואופקיים, אשר היו פזורים לאורך לולאות המעי.
ממצאים אלה העידו על הימצאות שאריות עצם במערכת העיכול, בשלבי מעבר שונים.
משמעות קלינית וסיבוכים אפשריים:
בליעת עצמות מבושלות עלולה להוביל לסיבוכים שונים:
- גירוי ופציעה של רירית הקיבה והמעיים.
- עצירות קשה או גירוי רקטלי.
- חסימת מעיים חלקית או מלאה.
- פרפורציה, קרע בדופן המעי, סיבוך נדיר אך מסכן חיים.
טיפול
ד"ר שרית החליטה לתת לג'יי ג'יי כטיפול ראשוני זריקת סרניה (Cerenia),זריקה שתקל עליו כנגד הקאות ובחילות.
בנוסף, הנחתה את אופק הבעלים, לתת לג'יי ג'יי כמות קטנה של מוצרי חלב, כמו גבינה או יוגורט, במטרה לגרות את מערכת העיכול ולעודד את מעבר העצמות. מוצרי חלב מסייעים לעיתים בהגברת פעילות מעיים.
המלצות למעקב
- השגחה קלינית: מעקב אחר הופעת סימנים כגון הקאות, חוסר תיאבון, כאבי בטן, עצירות או שלשול.
- מעקב הדמייתי: במידת הצורך, יבוצע צילום רנטגן עם חומר ניגוד לאחר 24 שעות.
- תזונה מותאמת: מתן תזונה קלה וסיבית, כגון מוצרי חלב, בטטה או דלעת מבושלת
- התערבות כירורגית: תשקל רק במקרה של חסימה מלאה או אם העצמות אינן מתקדמות.
הדרכת בעלים
במהלך הביקור והטיפול של ג'יי ג'יי, הסברנו לבעלים על הסכנות בלתת מובשלות של בשר בקר או עוף. הסכנה היא, שלאחר שהבליעה העצמות נוטות להישבר בגוף לחלקיקים קטנים וחדים, ועלולות לקרוע בדרך איברים.
לכן, ההמלצה היא במידה ורוצים לפנק את הכלב יש לתת:
- חטיפים תעשייתיים – יש מבחר עצום של חטיפים שניתן לבחור. על בסיס עוף, דגים או בקר. רק חשוב לשים דגש על מרכיבים איכותיים, טבעיים וללא חומרים טבעיים.
- בישול ביתי – אין בעיה במתן עוף, דג או בשר בקר מבושלים,אפילו מומלץ, כיוון שמדובר בחלבון איכותי וטבעי, רק חשוב לשים לב, לתת אותם ללא עצמות, וללא תיבול, כגון: מלח, תבלינים, בצל ושום.
- ירקות ופירות – בחירה מעולה, ואפילו מומלצת. ירקות ופירות עשירים בויטמינים, מינרלים וכלבים מאוד אוהבים אותם, במיוחד בחודשי הקיץ, שניתן להגיש אותם קרים. בננה, תפוח, מלון,אבטיח, אוכמניות, מלפפון, בטטה ודלעת. כל אלו, בטוחים ובריאים. (יש איסור לתת אבוקדו וענבים).
לשמחתנו, במקרה של ג'יי ג'יי, הזריקה שניתנה לו הספיקה. הוא לא נזקק לטיפול נוסף, והגיב היטב להנחיות שניתנו לבעליו. בתוך זמן קצר חזר להיות כלב שמח, ערני וקופצני, כשהוא מקשקש בזנבו כאילו דבר לא קרה.
